Powstał z myślą o stworzeniu miejsca, które odczaruje obraz dentysty
do którego będą wchodzić Państwo z uśmiechem i spokojem
Bezpieczeństwo i przewidywalność leczenia oraz całkowite wyeliminowanie bólu jest u nas złotym standartem.
Stawiamy na indywidualne podejście zarówno do Pacjenta jak i wyboru sposobu leczenia. Empatia to klucz a każdy z Państwa może liczyć na życzliwe przyjęcie i miłą, bezstresową atmosferę. Nigdy nie żałujemy czasu na rozmowę i zawsze tworzymy indywidualny plan leczenia, podczas realizacji, którego skupimy się na Twoim komforcie zarówno psychicznym jak i fizycznym.
CZYM SIĘ WYRÓŻNIAMY
Leczymy bez bólu i stresu
Wykorzystujemy energię laserów podczas zabiegów i wspomagając gojenie
Zapewniamy wentylowane i klimatyzowane pomieszczenia
Plazmowe oczyszczacze powietrza. Urządzenie niszczy 99,99% wirusów, bakterii i zarodników grzybów
Nieskazitelny i kojący wystrój wnętrz
Wygodna poczekalnia z dostępem Wi-Fi
Zapewniamy środki przeciwbólowe
Klinika jest miejscem przyjaznym osobom niepełnosprawnym
Leczymy bez bólu i stresu
Poznajmy się bliżej
Piękne i olśniewająco białe zęby to kwestia nie tylko urody, ale przede wszystkim zdrowia. My o tym wiemy, dlatego wychodząc naprzeciw Państwa potrzebom i oczekiwaniom stworzyłam to wyjątkowe miejsce, gdzie kompleksowo troszczymy się o estetykę i zdrowy uśmiech.
Moje kilkunastoletnie doświadczenie chirurgiczne sprawia, że wiem jak ważne jest leczenie bez bólu.
Umiem go poskromić.
Nasz zawód - nasza pasja
Dlaczego my?
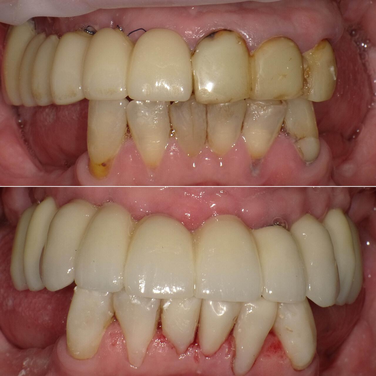
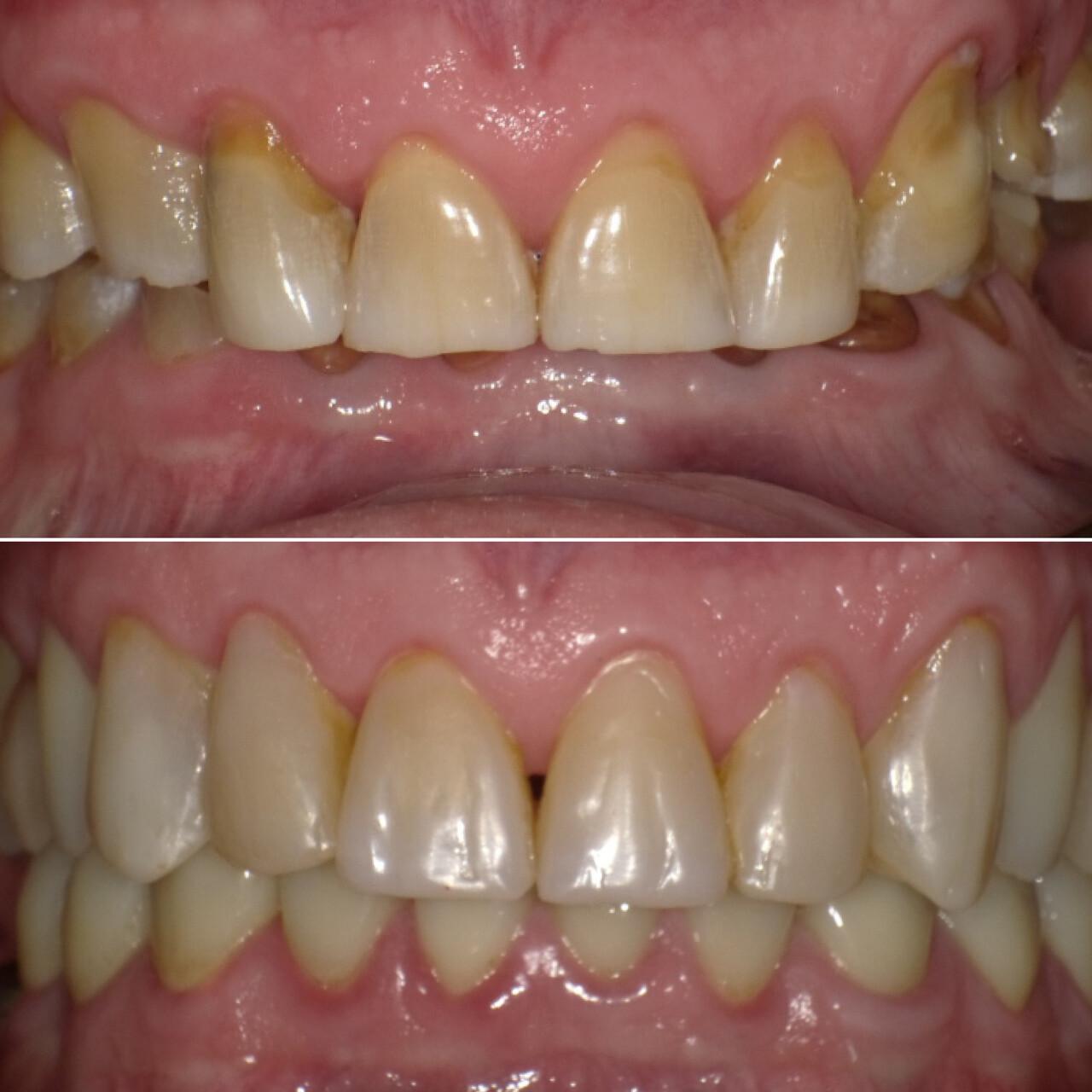
Specjalizujemy się w leczeniu implantologicznym oraz protetycznym. Skutecznie leczymy parodontozę. Wykonujemy trwałe wypełnienia estetyczne
lat doświadczenia
empatii
zadowolonych klientów
wykwalifikowanych pracowników
Nasza oferta
Implantologia
Protetyka
Stomatologia estetyczna
Leczenie zachowawcze
Leczenie endodontyczne
Chirurgia
Periodontologia
Higienizacja
Wybielanie zębów
Pakiet Wizyty bólowej
W przypadku nagłego bólu zęba, opuchlizny, odklejenia korony
skorzystaj z pakietu wizyty bólowej, która obejmuje doraźne uśmierzenie bólu, zdjęcia RVG, diagnozę i receptę.
BLOG
Nowoczesne metody wybielania zębów – co działa najlepiej?
Biały, zdrowy uśmiech to dziś nie tylko kwestia estetyki, ale również wizytówka pewności siebie. Z tego powodu coraz więcej Pacjentów...
Jak laser może pomóc w walce z opadającymi powiekami i zmarszczkami?
Choć klinika kojarzy się głównie z leczeniem zębów, wiele nowoczesnych placówek stomatologicznych oferuje także zabiegi estetyczne. Jednym z przełomowych rozwiązań...
Leczenie zębów w narkozie – kiedy jest to konieczne i jak przebiega procedura?
Dla wielu Pacjentów wizyta u dentysty wiąże się ze stresem, a nawet panicznym lękiem. Są również sytuacje medyczne, które uniemożliwiają...
Opinie naszych klientów
Magdalena Ruta2023-10-05Trustindex sprawdza, czy pierwotnym źródłem recenzji jest Google. Najlepsza klinika w Warszawie! Polecam w 100% A2023-05-19Trustindex sprawdza, czy pierwotnym źródłem recenzji jest Google. Cieszę się, że znalazłam taka panią dentystkę, już na pewno na stałe, po opiniach na znanylekarz. Przekonała mnie już pierwsza wizyta: w ciągu krótkiego czasu dostałam dokładny plan leczenia z cennikiem i harmonogramem i już wiedziałam, że to lekarz, który się naprawdę zna, w porównaniu do wizyt gdzie indziej. Dwa implanty wszczepione po mistrzowsku w ciągu 40 minut i po trzech dniach naświetlania laserem mogłam już funkcjonować. Reszta wizyt przebiegła tez super sprawnie, a implanty dobrze się maja już od kilku miesięcy. Pani doktor Przybysz jest empatyczna, decyzyjna i bezpretensjonalna, co dla mnie ma znaczenie no i ma, przede wszystkim, ogromne doświadczenie i wiedze. Ceny bardzo uczciwe, a gabinet nowoczesny i świetnie wyposażony w najnowszy sprzęt. Dla mnie warto się przejechać z drugiego końca Warszawy, bo miejsc niby odlegle, ale dobrze teraz skomunikowane (metro + krótki spacer), żałuję tylko, że wcześniej straciłam gdzie indziej czas i pieniądze na konsultacje. Ewa Sikora2023-03-16Trustindex sprawdza, czy pierwotnym źródłem recenzji jest Google. Leczenie chrapania- Mąż właśnie zakończył serię zabiegów. Bardzo polecam! Przed rozpoczęciem naświetlania laserami, chrapanie było na tyle dokuczliwe, że nie dało się przy nim zasnąć, a czasem nawet kończyło się spaniem w innym pokoju. Już po pierwszych 4 zabiegach była duża poprawa- chrapanie było dużo cichsze. A teraz po 8 zabiegach efekt przeszedł moje oczekiwania. Chrapanie zdarza się rzadko, a jeśli występuje to jest na tyle ciche, że bez problemu można przy nim zasnąć 🙂 (Bez zmiany pokoju do spania 😉) Katarzyna Strzelecka2021-07-01Trustindex sprawdza, czy pierwotnym źródłem recenzji jest Google. Polecam, profesjonalne podejście do klienta, miła atmosfera, jestem bardzo zadowolona z efektów zabiegów. Basia2021-06-28Trustindex sprawdza, czy pierwotnym źródłem recenzji jest Google. Klinika Laser Dental Cliniq to miejsce, które szczerze każdemu polecam. Przemiła atmosfera w parze z ogromnym profesjonalizmem. Klinika zapewnia kompleksową opiekę stomatologiczną, przy użyciu nowoczesnego sprzętu, w oparciu o fachową wiedzę. Korzystałam już z zabiegów stomatologii zachowaczej, z leczenia endodontycznego a także z zabiegu higienizacji. Pani Magda Przybysz i cały zespół Kliniki zasługuje na ocenę celującą! Każdy kto trafi pod ich opiekę będzie zadowolony i przede wszystkim wyleczony. Kamil Gadomski2021-06-23Trustindex sprawdza, czy pierwotnym źródłem recenzji jest Google. Jest mi niezmiernie miło wystawić jedna z pierwszych opinii dla Laser Dental Cliniq. Już od zewnątrz klinika zachęca do wejścia. Czysto minimalistycznie nowocześnie i przytulnie. Za recepcja sympatyczna i uśmiechnięta Pani. Można umówić się na dogodny dla nas termin. Nawet w przypadku nagłej zmiany daty atmosfera nadal jest przyjazna. Pierwsze spotkanie z Panią Dr Monika. Bardzo rzeczowo wyjaśnia co będzie wykonywać. Przed przystąpieniem do zabiegu higienizacji skrupulatnie przeprowadziła wywiad. Sam zabieg przebiegł sprawnie i w miłej atmosferze. Pani stomatolog wyjaśniła jak mam dbać o dalsza higienę szczegółowo omawiając odpowiedni dobór kształtu i rodzaju włosia w szczoteczce. Niezwykle profesjonalne podejście. Na kolejnej wizycie spotkanie z Dr Magdalena. Miałem ogromny problem aby znaleść specjalistę który podejmie się ekstrakcji „ósemki”. Mając z tylu głowy niezwykle trudny zabieg usuwania poprzedniej 8 byłem pełen obaw. Pani Chirurg stanęła na wysokości zadania i poradziła sobie znakomicie z pomocą Pani asystentki. Po zabiegu otrzymałem laser poprawiający gojenie. Według mnie Pani Magdalena jest nr 1 w Warszawie !!!! Zachęcam do odwiedzenia kliniki. Maja bardzo wiele do zaoferowania. Oferta jest rozszerzona o zabiegi medycyny estetycznej przeprowadzane przez Panią Różę. Moja Zona była bardzo zadowolona z wykonanego zabiegu. Z pewnością będzie jeszcze korzystać . Szkoda tylko ze nie ma ocen na 6 bo z pewnością zasługuje na nią cały zespół.
































